Descubren una nueva especie de microalga en río Tinto similar a las que habitan zonas mineras de Japón
La nueva especie de microalga, identificada a través de muestras tomadas en río Tinto, cuenta con características genéticas similares a las de otras microalgas de zonas de Japón
Una investigación de la UHU descubre una nueva especie de lepidóptero en la Sierra de Huelva
Una nueva especie de microalga ha sido identificada a partir del aislamiento de distintas muestras tomadas del nacimiento del río Tinto. Bautizada con el nombre de Chlamydomonas urium, se caracteriza por la extrema acidez (pH en torno a 2) y el alto contenido en metales pesados de las aguas en las que habita.
A raíz de la investigación llevada a cabo en el Instituto de Bioquímica Vegetal y Fotosíntesis -centro mixto del Consejo Superior de Investigaciones Científicas (CSIC)-, el hallazgo ha sido publicado por New Phytologist, revista científica editada en Londres. El trabajo con esta especie ha incluido la secuenciación, ensamblaje y anotación del genoma de la microalga, conociéndose que está muy relacionada genéticamente con otras microalgas aisladas en zonas de explotación minera de Japón.
La investigación, llevada a cabo en el Instituto de Bioquímica Vegetal y Fotosíntesis (IBVF), centro mixto del Consejo Superior de Investigaciones Científicas (CSIC) y la Universidad de Sevilla (US), en colaboración con investigadores del Centro Andaluz de Biología del Desarrollo (CABD-CSIC-UPO) y del Instituto de la Grasa (IG-CSIC), demuestra que Chlamydomonas urium posee unas características únicas en cuanto a su tasa de crecimiento y a su eficiencia fotosintética, "superior a la de otras microalgas relacionadas filogenéticamente".
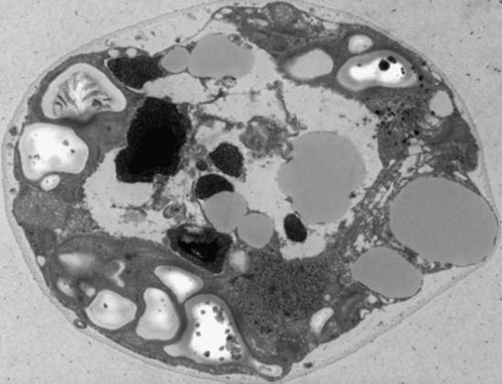
Los estudios fisiológicos, así como de microscopía electrónica, inmunodetección de proteínas y análisis masivo de metabolitos a los que se ha sometido desde el centro "han permitido demostrar que Chlamydomonas urium tiene una alta capacidad, no descrita previamente en otras microalgas, de sintetizar y degradar lípidos a través de un proceso de degradación y reciclaje interno denominado lipofagia o autofagia selectiva de lípidos".
"Nuestro trabajo indica que el elevado nivel de lipofagia presente en Chlamydomonas urium confiere a esta microalga propiedades metabólicas que le permiten vivir en entornos extremos como las aguas ácidas del río Tinto. Por sus características únicas en tasa de crecimiento, eficiencia fotosintética y capacidad metabólica de reciclar lípidos, Chlamydomonas urium puede tener un gran potencial biotecnológico para la captura eficiente de CO2 atmosférico y la producción de compuestos de interés industrial", indica José Luis Crespo, investigador del IBVF.
Las microalgas componen un grupo de microorganismos fotosintéticos altamente heterogéneo que pueden vivir en hábitats muy diversos, desde aguas dulces, salobres o ácidas hasta ambientes extremos como la nieve o el desierto.
Son cruciales en el medio acuático puesto que forman la base de la cadena trófica y, junto con otros microorganismos fotosintéticos, son los responsables de la producción de más de la mitad del oxígeno del planeta. Asimismo, la función de las microalgas en la biosfera es muy importante al reducir los niveles de dióxido de carbono de la atmósfera mediante la fotosíntesis, combatiendo de esta forma los efectos del cambio climático. Además, las microalgas también se caracterizan por su capacidad para producir compuestos orgánicos de interés para la industria, como lípidos, almidón o carotenoides, como consecuencia de su metabolismo secundario.
Por otro lado, la autofagia se trata de un proceso de reciclaje de componentes celulares que permite a los organismos eucariotas, incluyendo a las microalgas, adaptarse a condiciones cambiantes o limitantes a las que se enfrentan continuamente en su entorno con el fin de mantener la homeostasis celular. Aunque la autofagia es un mecanismo celular que se activa en condiciones de estrés, su estudio nunca ha sido abordado en organismos extremófilos -organismo que vive en condiciones extremas-, cuyo hábitat natural presenta condiciones que pueden dificultar la vida.
También te puede interesar
Lo último